
重修雙眼皮的最高深境界:寬摺修改!
妳被做壞的寬眼摺,可以修改成自然的眼摺!
你覺得不可能的事,讓專門重修雙眼皮的醫師幫您達成!
在過去的幾年,台灣女生追求很寬的眼摺,希望在東方的臉孔下追求一點混血感。
筆者曾經在幾篇文章中,除了強調眼睛的美感真諦,也大力強調『過寬眼摺』的缺點,以及手術可能帶來的傷害,
在最近的一年內,來自台灣各地的重修雙眼皮人數激增,有一半的人希望修改自己過度被『開高』的眼摺!
這些重修的案例中,很多是被錯誤的手術方式破壞,造成全台幾乎沒有其他醫師願意重修,而事實上,這些醫師專門開高的醫師,也不懂得修復的方式。
這個手術,相當困難!
因為重修手術,最困難在於:很難推斷到底前面一位醫師,做了什麼事!
疤痕、沾黏、凹陷、嚴重不對稱、脂肪拿得過多很容易出現在這些被開寬眼摺的狀況。


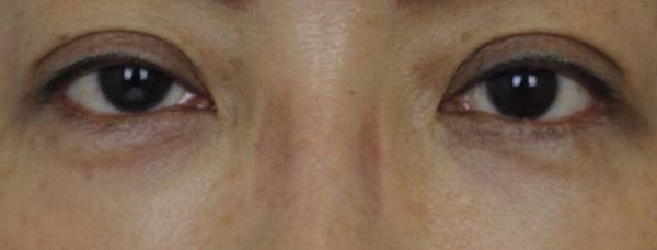
重修過寬眼摺案例0
眼摺過寬,大多伴隨眼睛打不開,重修後,眼神重現!

🔼🔼🔼重修過寬眼摺案例1:
男生的厚摺,大多是錯誤的選擇,經過重修,重見光明!

🔼🔼🔼重修過寬眼摺案例2:
傳統手術,會拿掉太多的脂肪,造成凹陷及沾黏,重修更是考驗醫師的技術與觀念!

🔼🔼🔼重修過寬眼摺案例3
早年做過的雙眼皮,在皮膚鬆弛後呈現老態,除了修復雙眼皮,更要藉由自體脂肪來重建術後可能出現的凹陷!


🔼🔼🔼重修過寬眼摺案例4
台北某診所的慣性開法,無限加大加寬的結果,疤痕超級大!重修恢復較正常的眼型。
重修過寬眼摺案例5:
之前也是不知在何處,接受這樣的超大疤痕手術法以上是重修過後,恢復眼神及眼型!
🔽🔽🔽下面這張,連您都會診斷吧:
無神,厚褶,前藏有前次手術沾黏及提眼肌無力的問題!
🔽🔽🔽當然,我們同時進行老化性雙眼皮的手術,並修正 上述所有的問題! 重現有神,自然眼摺的魅力!

🔽🔽🔽再看一張重修傑作!
原先的疤痕似乎畫出一道眼摺,不但不對稱程度高,眼頭疤痕明顯。另外,也是。睡眼惺忪......
🔽🔽🔽重修後,維持客人堅持的大眼眼神,不需要放大片點綴也是很迷人喔!
下面這位美女, 於本次重修手術前,曾在台北接受某位美感有點問題的醫師做雙眼皮手術,
術後一直以為:『這就是我要的』。
但是最後自己發現,google線上當紅的女星,沒有一個是寬眼摺的==
所以現在終於後悔了,找筆者重修雙眼皮,兩個月後就得到一雙與天然美女一樣的美麗眼睛!

️️️當然,筆者還是有遇到指著寬眼摺的術前照說:『明明就是寬點比較好看』
我個人不是很想跟您爭辯什麼,美感這種東西本來就很主觀。
您要是不愛自然的,我也有做成很寬的雙眼皮術前術後照片,可以給你看!
[後記]
最近聽到某診所與諮詢師,被指控態度不佳,術後不理。
看完整個故事,其實我想說:雙方都有問題!
美的潮流,是大家追求的。
但是美容手術,不比買名牌包包或訂製衣,是可以退換貨或是輕易修改的。
接受手術的顧客,與施行手術的醫師,都要體認!
但是店家的商業經營,以及大家對於手術的輕忽,還有對美的誤解,造成這個『寬眼摺』的潮流。
(我覺得大多的女生,把雙眼皮手術看得跟化妝一樣簡單)
也就是因為這個潮流,慢慢出現市場『需求』
然後有一些醫師自以為『開發』出新產品,順勢『推出』這種違反東方人解剖的手術方式,
(其實這個所謂新產品,跟古老的割雙眼皮手術,方法沒有太大的差異)
在一些人身上,或許條件允許,手術有幸順利成功,但有更多的人遭受疤痕沾黏及無法修復的結果。
所以,雙方都有問題。
過去兩年,我老是在門診,與帶著要『開高雙眼皮』的顧客『奮戰』,花掉非常多的時間解釋,
因為太多醫美廣告,網美網紅代言
我很多時候覺得講多了,客人就流失了,但與手術原則相悖,我無法背著我的認知下刀
花這麼多時間解釋,有時我的諮詢師站在旁邊都翻白眼了,
但我希望的就是:不要讓顧客接受一個他會後悔的手術。
然後,最近觀念再改,潮流推移,大家又慢慢接受自然的眼摺,
(這與韓國女生的要求很接近,但這我在2-3年前就說過了)
而門診多了很多台灣各地的求診客,甚至是港澳在中國接受手術的病人,
為的就是要:
『改低我的雙眼皮,恢復並改善愛睡眼神!』
在這些港澳客人身上,竟然也看到跟台灣同樣的手術結果,
顯示台灣的雙眼皮手術觀念,竟然跟某些傳統的中國醫師相去不遠
而我在手術房理,解開他們眼皮的同時,不得不讚嘆這些手術醫師的大膽![]()
能夠這麼勇猛的做這麼大的破壞,那些被過度切除及沾黏的狀況,連善於修復手術的韓國醫師都望而卻步
(曾與韓國資深眼整形醫師同時諮詢寬眼摺手術後病患,他們表示非常困難修復,因為在他們的國家案例中,不常出現這樣過度破壞的結果)
筆者有幸成功完成多例寬摺修復,自許在整形外科及美容外科的專業下,能幫助顧客變美,也想幫助手術失敗的人重新找回希望與自信,
在眼整形投入的這幾年,已做出點成績,希望能帶給大家更多手術的正確觀念與保障。
---------😆我是賴醫師派來的分隔線😁--------
找到賴醫師:
📩在揚藝美學診所📩
地址是: 高雄市新興區忠孝一路233號
診所營業時間:
星期一至五上午11:00-晚上7:00
星期六上午10:00-晚上6:00
電話:07-2410101
Line@生活圈好友
https://eliteps.work/line客服
Google Map 導航
https://eliteps.work/MAP
揚藝 FB粉絲專
https://eliteps.work/FB
術前術後相片為病患同意公開。任何手術或療程皆會有其醫療風險,以上資訊係做為診療的輔助說明、衛生教育及醫療知識分享,僅供參考。民眾應於診所接受醫師親自診斷後,再行確認相關治療是否適用於自己。
【手術禁忌症】
有感染疾病者,感冒或發燒當中,糖尿病控制不佳患者,凝血功能不良者
【手術術前需知】
有進行過同一部位手術,蟹足腫或肥厚疤痕體質者,有服用抗凝血劑成分藥物者,應告知醫師。
【可能的副作用】
腫脹、瘀血、疼痛、局部發炎、暫時性不對稱,皆常見正常現象,按照醫護人員的指示,數日至數週內即會消失。
極少數人可能發生併發症:血腫或手術後再出血、傷口感染、傷口癒合不良、疤痕增生肥厚或攣縮等等症狀。
